ホワイトニング症例④|リュミエールデンタルクリニック水道橋
歯の表面的なステイン(着色)は普段の歯磨きや歯科医院で施術するクリーニングである程度改善することはできますが、歯の内部に浸透した着色はホワイトニングをしないと歯を白い状態に戻せません。
歯の着色は、コーヒー、紅茶、赤ワイン、カレーなどの飲食物や喫煙習慣が大きくかかわってきます。
本症例は
・スケーリング・PMTCによる歯石およびプラークの除去
・エアフローによる歯の表面的な着色(外来性着色)の除去
・オフィスホワイトニングによる内在性着色の除去
を行った症例になります。
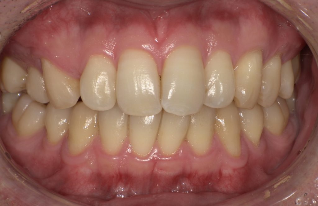
Before

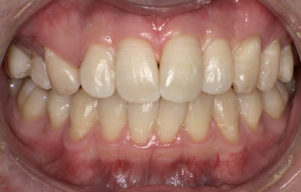
After

・初診日 2026年1月
・患者 31歳 男性
・主訴 「明日、結婚式で司会を務めるとのことで歯を白くして印象を良くしたい」
・特記事項
非喫煙。元々の歯の色の黄色味が強い。コーヒーをよく飲む。
・診断名 歯の着色・変色
①スケーリング・PMTC
超音波チップを用いて歯の表面の付着した歯石の除去を行います。また機械的歯面清掃(電動歯ブラシの歯科医院バージョン)を行うことでプラークの除去を行います。
②エアフロー
水と微細なパウダーを圧縮空気で歯の表面に吹き付けて、ジェット水流により歯の表面の着色汚れやバイオフィルム(細菌が作る膜)を除去します。このステップをはさむことでよりホワイトニング効果があがります。当院では施術時に歯や歯ぐきへの負担が少ないエアフローを使用しています。
③オフィスホワイトニング
まず現在の歯の色味の確認と写真撮影を行います。
その後、歯ぐきや唇の保護を行い、歯の表面にホワイトニングジェルを塗布していきます。薬剤の活性化させるために専用の光照射器で光照射します。当院では軽量で広範囲に光照射できる照射器を使用しています。
照射後にホワイトニングジェルを拭い、ラバーカップと微細研磨粒の入った歯磨剤で仕上げします。
最後に色味の確認と写真撮影を行います。
①②スケーリング・PMTC・エアフロー
所要時間 45分
費用 13,200円(税込)
③オフィスホワイトニング(2回照射)
所要時間・来院回数 30分・1回
費用 27,500円(税込)
※ホワイトニングは自由診療です
リスク・副作用はありますか?
ホワイトニングを安全に受けていただくために、以下の点にご注意ください。
知覚過敏症状
施術中や施術後に、歯が一時的にしみる感覚(知覚過敏)が生じる場合があります。 通常は24時間以内に治まりますが、症状が強い場合は、しみるのを抑える処置を行うことも可能ですのでご安心ください。
効果の個人差
ホワイトニングの効果は、患者様のお色味や歯の質、生活習慣によって個人差があります。 一度の施術で理想の白さに到達しない場合や、色ムラが出ることがありますが、回数を重ねることで改善が期待できます。
施術後の食事制限
オフィスホワイトニング直後は、歯の表面を保護している膜(ペリクル)が剥がれているため、非常に着色しやすい状態です。 施術後24時間は、コーヒー、紅茶、赤ワイン、カレーなどの色の濃い飲食物や、喫煙は控えていただくことを推奨しています。
人工物への反応
ホワイトニング剤は天然の歯にのみ作用します。 プラスチックの詰め物(レジン)や被せ物(セラミック等)の色は白くならないため、周囲の歯の色に合わせてやり替える処置が必要になる場合があります。
___________________________________________
日々の丁寧なケアと定期的なメンテナンスでホワイトニングの効果を長持ちさせることができます。
【リュミエールデンタルクリニック水道橋】では、ホワイトニング後の色戻りを防ぐためのアフターケアを大切にしています。
白い歯は、笑顔と自信を輝かせ印象を変えてくれます。この記事でご紹介したようにクリーニング、ホワイトニングには様々な方法があります。患者様のライフスタイル、歯を白くしたい目的や理想に合わせてまずはぜひ一度当院にご相談をしてみてはいかがでしょうか。白く美しい歯を長持ちさせましょう。
当院はJR「水道橋駅」徒歩3分、神保町・九段下・御茶ノ水からもアクセスしやすい環境にあります。
平日・土曜ともに19時まで診療しておりますので、お仕事帰りや休日にも通いやすい歯科医院です。
